If you’re exploring IVF, you may have heard about karyotype testing. This chromosomal analysis provides valuable information about genetic health, but many people aren’t sure what it involves or how it differs from other genetic screening options.
This article explains what karyotype testing is, how it’s performed, and its role in fertility treatment. We’ll cover how it differs from genetic carrier screening, why some clinics require it for egg donors, and what the results can tell you about your genetic health.
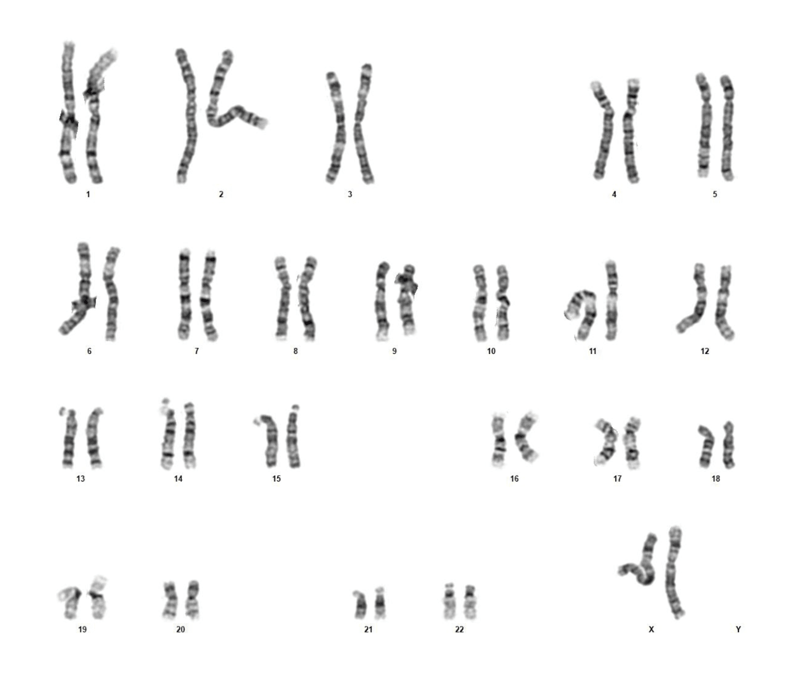
What is karyotype testing?
Karyotype testing is a type of genetic test that examines the number and structure of chromosomes in your cells. These thread-like structures carry your genetic information, with normal human cells containing 46 chromosomes arranged in 23 pairs. Half of each pair comes from the egg, and half from the sperm.
During the test, a medical professional takes a small blood sample. Lab technicians then culture these cells, arrest them during cell division when chromosomes are visible, and arrange photographs of the chromosomes in pairs. This arranged display of chromosomes is called a karyotype.
The process reveals several key pieces of information:
- The total number of chromosomes
- The size and shape of each chromosome
- The arrangement of bands or patterns on the chromosomes
- Any structural changes or abnormalities
Sometimes karyotype testing is called genetic testing, chromosome testing, chromosome studies, or cytogenetic analysis.
What abnormalities can karyotype testing detect?
Karyotype testing can identify several types of chromosomal changes:
- Aneuploidy: Having extra or missing chromosomes. For example, an individual with a third copy of chromosome 21 would have Down syndrome (also known as Trisomy 21). A female with only one X chromosome would have Turner syndrome (also known as Monosomy X)..
- Structural changes: These include broken, missing, or extra parts, known as deletions or translocations. They can cause a variety of problems depending on which chromosome is affected. These changes can affect fertility, pregnancy outcomes, and child development.
The purpose of the test is to rule out these abnormalities to increase the chances of a successful pregnancy and healthy child.
How karyotype testing differs from genetic carrier screening
While both karyotype testing and genetic carrier screening evaluate genetic health, they look at different aspects.
Karyotype testing examines the big picture – the number and structure of entire chromosomes. It can identify major changes like missing or extra chromosomes, or structural rearrangements that affect large segments of genetic material.
Genetic carrier screening, on the other hand, looks for specific mutations within individual genes. These mutations might be very small changes in DNA sequence that could cause inherited conditions, even if the chromosome structure appears normal. A carrier screen will either be targeted (looking for a specific specific gene for a particular disease) or a broader panel of a few dozen to hundreds of genetic conditions.
Think of it this way: karyotype testing is like checking if you have the right number of books (chromosomes) on your shelf and if they’re all intact. Genetic carrier screening is like checking specific pages within those books for typos (mutations) that could affect how the genetic information is read.
Why clinics might require karyotype testing
Some fertility clinics require karyotype testing for egg donors, while others consider it optional. Here’s why it can be valuable:
- Preventing genetic disorders: Some chromosomal abnormalities can lead to serious developmental conditions. Karyotype testing helps ensure donors don’t carry these abnormalities.
- Reducing miscarriage risk: Chromosomal abnormalities are a common cause of early pregnancy loss. By screening donors’ chromosomes, clinics can reduce the risk of miscarriage due to chromosomal issues.
- Complementing carrier screening: While karyotype testing identifies large chromosomal abnormalities, genetic carrier screening helps detect recessive genetic disorders. When used together, these two types of screening combine to provide more comprehensive genetic evaluation to increase the odds of achieving a viable pregnancy and healthy child.
- Supporting informed decisions: Results help intended parents and donors make informed choices about fertility treatment.
Obtaining both female and male karyotypes is generally advised. By testing both partners (or donors), intended parents can get the information they need to make informed decisions about their fertility and their future.
Who needs a karyotype test performed?
Several groups of people may benefit from karyotype testing:
- Egg donors: Many clinics require karyotype testing for donors to screen for chromosomal abnormalities that could affect embryo development.
- People experiencing infertility: Doctors may recommend karyotype testing to determine if chromosomal factors are contributing to difficulty conceiving or recurrent pregnancy loss.
- People with family history: Those with a family history of chromosomal conditions or genetic disorders may want testing before starting fertility treatment.
- Children with developmental concerns: Healthcare providers might recommend karyotype testing to identify potential chromosomal causes of developmental delays or other medical conditions.
The testing process
Getting a karyotype test is straightforward:
1. A healthcare provider draws a small blood sample
2. The lab cultures blood cells for about 1-2 weeks
3. Technicians examine cells under a microscope during cell division
4. They photograph and analyze the chromosomes
5. A genetics specialist interprets the results
Results typically take 2-3 weeks. Your healthcare provider will explain what any findings mean for your fertility treatment plans.
Understanding results

Normal results show 46 chromosomes arranged in 23 pairs, written as 46,XX for females or 46,XY for males. Abnormal results indicate variations in chromosome number or structure.
Some variations may not cause health problems, while others might affect fertility or pregnancy outcomes. A genetic counselor can help explain the significance of any abnormal findings.
Limitations of karyotype testing
While valuable, karyotype testing has some limitations. For example, It can’t detect small genetic changes that genetic carrier screening might find. Some genetic conditions occur due to tiny DNA changes invisible at the chromosome level.
Plus, results aren’t always black and white. Some chromosomal variations have unclear effects on health or fertility.
The test may also miss some mosaic conditions, where some cells have normal chromosomes while others don’t.
Making informed decisions
Remember that karyotype testing is just one tool in genetic screening. Used alongside other tests like genetic carrier screening, it helps provide a clearer picture of genetic health and supports informed fertility decisions.
Find out more about donor egg IVF with Cofertility by taking our quick quiz. Our team can help you understand your options and connect you with qualified healthcare providers.





